Selecciona Edición
Selecciona Edición
Tamaño letra
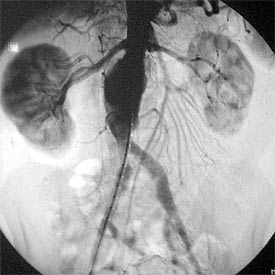
CIRUGÍA VASCULAR | Operación con endoprótesis fenestrada para arterias renales

El hospital de Albacete aplica una nueva prótesis para un aneurisma de alto riesgo

Un equipo multidisciplinar del Complejo Hospitalario Universitario de Albacete (CHUA) ha realizado con éxito una intervención quirúrgica para tratar un aneurisma de aorta renal de alto riesgo mediante endoprótesis fenestrada -con dos agujeros o ventanas- para arterias renales. La operación, que supone la única opción para pacientes que por la patología asociada que sufren no soportan la cirugía tradicional, duró cinco horas y tuvo lugar el pasado 15 de enero en el hospital de Albacete. El paciente fue capaz de caminar y comer 24 horas más tarde.

Un aneurisma es una dilatación patológica de una arteria que, por su mayor debilidad, amenaza con romperse y puede causar la muerte. Los de la aorta -la arteria principal y de mayor calibre del organismo- se tratan en condiciones habituales con una endoprótesis estándar mediante cirugía abierta convencional, colocando un cilindro protector dentro de la zona dañada del vaso.

La nueva técnica es selectiva y se reserva a pacientes con elevado riesgo quirúrgico

Sin embargo, como explica Alberto Masegosa, jefe de la Unidad de Angiología y Cirugía Vascular del CHUA y responsable de la intervención, "las condiciones del paciente intervenido, de 59 años, suponían un elevado riesgo para su salud en caso de cirugía estándar, pues padecía cardiopatía isquémica severa con enfermedad de tres vasos no revascularizable y episodios de angina inestable, y había sido sometido a cirugías previas en el abdomen por colitis ulcerosa". Además, el diámetro del aneurisma era de 6,5 centímetros y, por estar demasiado próximo al riñón, no había zona sana donde sujetar una endoprótesis convencional.

"Esta novedosa técnica", continúa Masegosa, "es una modificación más laboriosa que la ya de por sí compleja endoprótesis estándar. Hasta ahora, las endoprótesis se realizaban en zonas de la aorta sin ramas que irrigaran órganos vitales. La fenestración -dos orificios en la propia prótesis- permite incluir segmentos de aorta con ramas a estos órganos, como los riñones, para mantener la circulación y evitar el fallo de éstos. Además, la prótesis se puede anclar por encima de los riñones, aunque no haya zona sana donde sujetarse. Ésta se realiza a medida para cada paciente y se introduce a través de las arterias femorales mediante una pequeña incisión en las ingles y, al llegar al aneurisma, se despliega.

Es una técnica selectiva reservada a pacientes de alto riesgo quirúrgico que no son candidatos a la cirugía estándar, que sigue siendo la primera técnica de elección. El éxito de la intervención abre una puerta a este tipo de pacientes, cuyo índice de mortalidad es muy elevado sin endoprótesis. La implantada en Albacete va fijada con un stent de acero similar a los coronarios recubierto de material textil que evita que la presión de la sangre provoque la rotura del aneurisma.

Entre el 75% y el 85% de los aneurismas de aorta son abdominales y pueden ser letales si no se diagnostican correctamente. Se calcula que en ese caso la mortalidad supera el 50%. El perfil del paciente susceptible de padecerlo es el de un varón de más de 60 años -afecta a casi el 5% de este grupo poblacional- con los factores de riesgo más habituales de enfermedad cardiovascular y arteriosclerosis, como pueden ser hipertensión arterial, diabetes, obesidad, tabaquismo, colesterol y sedentarismo. También se cree que hay predisposición genética y que un familiar de primer grado de una persona con aneurisma tiene entre 20 y 30 veces más posibilidades de padecerlo.

Para realizar la operación ha sido necesario un equipo especialmente entrenado de 14 especialistas. Lo formaban Alberto Masegosa; el cirujano vascular Erik Verhoeven, del Hospital Universitario de Groningen, Holanda, que supervisó y colaboró en los primeros procedimientos; Enrique Juliá, jefe de la sección de Radiología Vascular Intervencionista del CHUA; Julio Palmero, presidente de la Sociedad Española de Radiología Vascular Intervencionista, y dos anestesistas, técnicos en radiología y personal de enfermería de quirófano.

* Este artículo apareció en la edición impresa del Martes, 27 de enero de 2004