Selecciona Edición
Selecciona Edición
Tamaño letra
Reportaje:

Con los capilares del cerebro dañados

Los angiomas cavernosos, que afectan al 0,5% de la población, causan pequeñas hemorragias y lesiones neurológicas

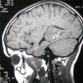
Dos años han transcurrido desde que M. L., mujer de 50 años afincada en Madrid y con una vitalidad extraordinaria, acusó los primeros síntomas de un angioma cavernoso o cavernoma. Lo característico de esta malformación congénita de los vasos sanguíneos cerebrales es que el llamado lecho capilar (los vasos más pequeños) tiende a romperse generando ataques epilépticos o hemorragias cerebrales.

Este trastorno, del que todavía se desconocen muchas facetas, afecta al 0,5% de la población general y constituye el 15% de las malformaciones vasculares cerebrales. La mayor parte de los cavernomas son asintomáticos y se diagnostican por casualidad cuando se realiza una resonancia magnética. La única opción terapéutica es la cirugía, que, salvo casos graves o de difícil acceso, ofrece un porcentaje de éxito cercano al 95%.

"La primera vez fui al médico porque se me adormeció todo el lado derecho del cuerpo"

La cirugía permite curar hasta el 95% de estas malformaciones vasculares congénitas

"La primera vez que fui al médico porque se me adormeció todo el lado derecho del cuerpo unos segundos, me dijo que esos síntomas no tenían importancia y que era un problema nervioso. A los seis meses aproximadamente me ocurrió lo mismo y esa vez lo asoció a trastornos del sueño y falta de descanso. Unos meses más tarde, los síntomas reaparecieron con más frecuencia e intensidad, hasta que en una ocasión me duraron todo el día. También veía mal y sólo distinguía la mitad de las imágenes. La siguiente vez que me sucedió fui directamente a la consulta de urgencias, donde finalmente me diagnosticaron el cavernoma".

La operación de M. L. fue larga y delicada, pero resultó un éxito y un mes después de haber sido intervenida está casi recuperada. "Hablo casi perfectamente y no arrastro la pierna; el único problema es que todavía no puedo escribir perfectamente. En cualquier caso, nunca me hubiera podido imaginar que sufriera una afección de este tipo y, desde luego, una vez que ya ha pasado lo peor, me considero una persona muy afortunada".

Aunque esta enfermedad vascular ya se reconocía en 1854, todavía existe mucho desconocimiento sobre ella: cuáles son sus causas, qué factores influyen y cuál es la incidencia de hemorragias que producen lesiones neurológicas.

El cavernoma puede aparecer en cualquier zona del cerebro y sus síntomas dependen de su localización y de cómo afecte a sus zonas cercanas. Se establecen dos grandes grupos: esporádicos, en los que aparece un único angioma, y múltiples, cuando aparecen varios en una misma persona. Aproximadamente una quinta parte de los angiomas cavernosos son múltiples y dentro de éstos hay un grupo importante de origen genético o familiar.

Las formas familiares son de herencia autosómica dominante (aunque sólo uno de los dos progenitores padezca este trastorno, existe un riesgo del 50% de que el niño desarrolle esta patología) y más frecuentes en la población latinoamericana, sobre todo en mujeres, de 30 a 50 años. Algunas formas familiares están relacionadas con el gen Krit 1 que se localiza en el cromosoma 7.

"Esta anomalía vascular, que se caracteriza por la presencia de vasos capilares anómalos, tanto en el tamaño como en la forma de la pared capilar, no contiene células cerebrales. El problema radica en que ese lecho capilar anormal tiene cierta tendencia a romperse y a producir pequeñas hemorragias que irritan el cerebro vecino. Dichas hemorragias pueden originar dos efectos principales: ataques epilépticos y hemorragias más grandes que, a su vez, pueden provocar lesiones neurológicas que afecten a ciertas funciones cerebrales", afirma Julio Albisua Sánchez, médico adjunto del servicio de Neurocirugía de la Fundación Jiménez Díaz de Madrid.

Este experto explica que ciertos ictus hemorrágicos son la expresión de algunos angiomas cavernosos y que sólo cuando se realiza la resonancia magnética se detecta la malformación del lecho capilar.

"El cavernoma puede manifestarse causando un ictus hemorrágico y esto es debido a que la hemorragia produce una lesión en el cerebro que origina que la zona afectada deje de funcionar. Puede estar relacionada con la zona del habla, del movimiento de los brazos o de las piernas. En general, los síntomas dependen de la zona que se afecte en el cerebro y no tanto de la causa que los produzca", insiste el neurocirujano.

La otra manifestación característica de los angiomas son las crisis epilépticas, que, aunque en el 90% de los casos pueden controlarse con medicación, cuando van asociadas a esta patología suelen ser progresivas y más difíciles de tratar. Algunos de los pacientes con crisis epilépticas por cavernoma se incluyen en lo que se denomina epilepsia médicamente intratable.

La cirugía de angioma cavernoso se considera una intervención de riesgo medio, aunque es poco frecuente que surjan complicaciones. Se calcula que existe un 5% de morbilidad (riesgo de efectos secundarios graves y mortalidad) y de este porcentaje muchos pacientes que sufren secuelas transitorias se recobran al cabo de los tres meses, bien sea por la evolución natural tras la intervención o por la práctica de ejercicios de rehabilitación.

"Lo bueno y gratificante de esta dolencia es que la enfermedad se cura cuando se extirpa el cavernoma y que el enfermo no tiene más riesgo que cualquier persona de padecer otro cavernoma", agrega Albisua.

* Este artículo apareció en la edición impresa del Martes, 3 de febrero de 2004